-
Voco MTA vpt - Preserving Pulp Vitality in Daily Practice
Jan 14, 2026In daily practice, reliable pulp protection is essential to preserve the vitality of the pulp. Biocompatibility and a stable, bacteria-proof seal are substantial properties.
-
Solventum Clinical Case: One cement for all posterior restorations.
Sep 22, 2025Indirect dental restoration using RelyX Universal cement in a clinical case by Dr. Carlo Arcara.
-
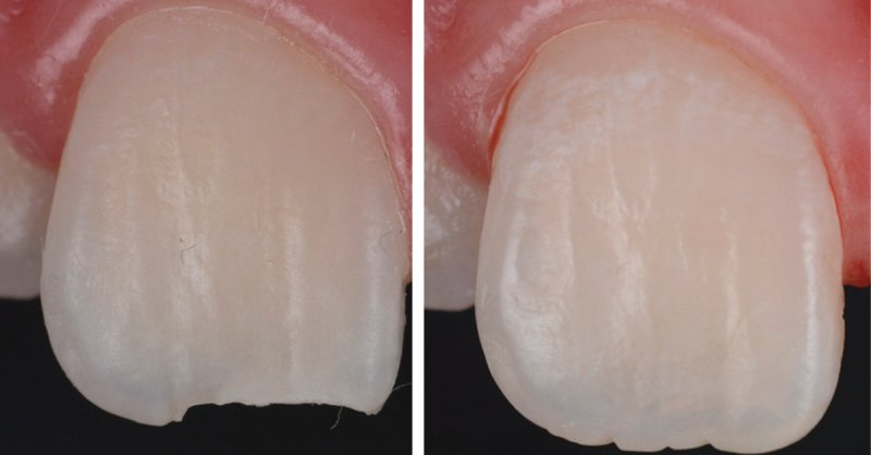
Simple peg-shaped lateral restoration using 3M Filtek Easy Match Universal Restorative
Sep 08, 2025What could be simple about restoring a peg shaped lateral? With 3M™ Filtek™ Easy Match Universal Restorative, it is easy to focus on shape, contour and anatomy, while achieving a natural-looking, aesthetic result
-
Efficient, patient-friendly fluoride treatment with less fluoride: Discover 3M Clinpro Clear
Sep 08, 2025Learn about the next generation of fluoride treatment with 3M™ Clinpro™™ Clear. Designed for patient comfort and efficiency, it offers effective care with less fluoride.
EUR (€)